When well-respected actress Judi Dench went to India to film The Second Best Exotic Marigold Hotel in 2015, she could no longer see well enough to function on her own. Instead, she depended on fellow cast member and old friend Maggie Smith to help her get around. She eventually revealed in subsequent interviews that she has been diagnosed with age-related macular degeneration since 2012.
WORDS LIM TECK CHOON
FEATURED EXPERTDR CHAN JAN BOND Consultant Opththalmologist, Eye Surgeon, and Refractive Surgeon International Specialist Eye Centre (ISEC) Kuala Lumpur |
To first understand age-related macular degeneration (ARMD), it will help to first review how the normal eye works to allow us to see the world around us.

- Light first passes through the cornea. That is the dome-shaped, clear front layer of the eye.
- The cornea helps to bend the light so that it will pass through an opening called the pupil.
- The iris — the coloured part of the eye —helps to adjust the size and diameter of the pupil, in order to control how much light that passes through the opening. When the day is bright, the pupil tends to be smaller in diameter; when it is dark, the pupil enlarges.
- Light passes through the pupil onto the lens. The lens will further bend, or refract, light so that light will focus correctly on the tissue layer at the back of the eye called the retina.
- In the retina is a small, oral-shaped, pigmented area called the macula, or macula lutea as it’s also called. The macula is responsible for sending signals of what see to our brain. Our brain will process these signals into coloured, high-resolution images.
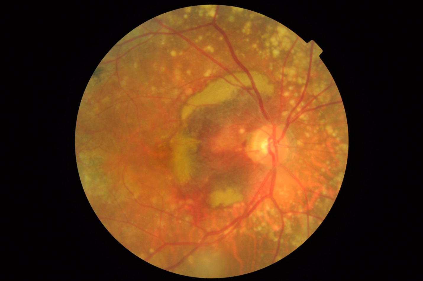
WHEN THE MACULA DEGENERATES
Like its name would suggest, age-related macular degeneration (ARMD) arises when the macula is damaged.

- “ARMD is a medical condition of the eye which may cause blurred or no vision in the center of the eye,” Dr Chan Jan Bond explains.
- It is considered age-related because it is more common among older persons.
- In fact, it is currently the leading cause of visual disability among those over 60.
JUDI DENCH HAS WET ARMD IN ONE EYE AND DRY ARMD IN THE OTHER
Dr Chan shares that there are 2 types of ARMD: wet and dry.
Dry ARMD
Dr Chan reveals that dry ARMD is the far most common form, as it represents 80% to 90% of all advance ARMD cases.
- The beginning of dry ARMD is indicated by the appearance of little piles of waste products, called drusen, on the retina.
- We still don’t really know how or why, but the appearance of drusen can sometimes lead to the thinning and breakdown of the macula.
- As a result, the person will first experience blind spots in their vision.
- Vision may worsen over time, affecting the person’s ability to read, write, make out faces and details, and carry out other activities that involve central vision.
- Dry ARMD may eventually progress to wet ARMD (see below) if not properly controlled.
Wet ARMD
This is usually a more advanced disease state, as more than 90% of people with this form of ARMD experience severe vision loss.
- According to Dr Chan, wet ARMD is associated with rapid distortion and sudden loss of central vision.
- This is caused by the presence of abnormal blood vessels forming in the retina.
- These vessels are leaky and hence prone to leak blood and other fluids into surrounding tissues.
- Scars will eventually form, causing permanent damage to the retina and the loss of central vision.
| Central vision refers to what we see when we look straight ahead. Almost all of our daily activities involve functional central vision. |
WHAT COULD BE THE CAUSE OF ARMD?
“We are not exactly sure what actually causes ARMD,” says Dr Chan.
Some of possible factors said to be able to increase one’s risk of developing ARMD include:
- Family history (Judi Dench’s mother also had ARMD)
- Age, with a 3-fold increase in risk when one is 75 years old
- Cigarette smoking, which can double the risk
- Prolonged exposure to sunlight
- Diet high in fats, cholesterol, and foods with high glycaemic index but low in antioxidants and green leafy vegetables
One can try to reduce the risk of developing ARMD by leading a healthy lifestyle of balanced diet, reducing unnecessary exposure to sunlight, and ditching unhealthy habits such as smoking.
| Early detection may lead to vision preservation or even improvement. If you have a family history, have reached an age whereupon ARMD is likelier to develop, or are otherwise concerned about this disease, consult an ophthalmologist on whether you need screening and, if yes, how regular should you be screened. |
HOW TO KEEP ARMD UNDER CONTROL
To date, there is still no cure for ARMD.
However, depending on how advanced the disease is once it is diagnosed, certain steps can be taken to preserve the person’s vision.
Early Stage ARMD
Dr Chan shares at, typically, people with early stage ARMD require constant monitoring instead of treatment.
- “You may not have any symptoms during early stage,” he clarifies.
- The first sign that something is amiss is a minor change to the quality of vision.
- Straight lines may appear distorted or blurred out.
- Blackened areas (blind spots) may appear in one’s central vision.

Beyond Monitoring: Injections and Other Treatments
- Injections of anti-vascular endothelial growth factor (anti-VEGF) into the region of the eye containing the vitreous humor will help stop new abnormal blood vessels from forming in the retina.
- Anti-VEGF also helps to block leakages from existing abnormal blood vessels.
Optical aids and devices, such as spectacles, can be used to assist people with ARMD to still carry out their daily activities to the best of their abilities.
Will Supplements be Beneficial?
- Dr Chan shares that antioxidant supplements have been shown to reduce the risk of progression in ARMD in those with intermediate or late stages of the disease.
- Research also found that nutritional supplements may delay progression of intermediate to advanced ARMD, helping the affected people keep their vision longer.
- However, such supplementations don’t seem to benefit people with early stage ARMD or those wishing to reduce their risk of developing this disease.
| This article is part of our series on eyesight and eye health. |
FEATURED EXPERT